Free Implant Consultation – All-on-4 & All-on-X on Super | Interest Free plan | Self Funded
Everything In-House | No Referrals Needed | from $135 per week Interest-Free Plans | From $24999
Transform your smile with All-on-4 or All-on-X implants, completed start to finish at JJ Smiles Dental & Implant Centre — no referrals, no running around.
Free consultation + check-up, digital scan & full-face X-ray
Pay weekly with interest-free plans or use your Super
Multiple financing options tailored to your needs
Enjoy a full smile, faster healing, and lasting results — all under one roof. Streamlined Implant Care | In-House Team | Trusted by 1,500+ Patients

Looking for an alternative to braces?
Clear Aligners at super care dental and cosmetics. This comfortable & invisible option lets you straighten your teeth with confidence and now affordable as well.
As it's for $29/week





Bring back your full smile with All-on-4 or All-on-X dental implants - built for lasting comfort, stability, and confidence.




At JJ Smiles Dental & Implant Centre, we make All-on-4 implants simple, seamless, and stress-free. From your very first consultation, every step is handled under one roof — no outside referrals, no delays, and no confusion.
Our experienced team uses advanced digital planning and 3D scanning to create a treatment that’s as precise as it is personal. We customise every smile based on your facial features, bite, lifestyle, and long-term goals.
Whether you're restoring one arch or both, you’ll receive consistent care from the same trusted team, from planning to placement. The result? A smile that looks natural, feels secure, and restores your confidence for years to come.


At JJ Smiles Dental & Implant Centre, we make All-on-4 implants simple, seamless, and stress-free. From your very first consultation, every step is handled under one roof — no outside referrals, no delays, and no confusion.
Our experienced team uses advanced digital planning and 3D scanning to create a treatment that’s as precise as it is personal. We customise every smile based on your facial features, bite, lifestyle, and long-term goals.
Whether you're restoring one arch or both, you’ll receive consistent care from the same trusted team, from planning to placement. The result? A smile that looks natural, feels secure, and restores your confidence for years to come.

JJ Smiles Dental & Implant Centre is led by Dr. Santosh Joy, a highly experienced Sydney-trained prosthodontist with over 20 years of expertise in implant and restorative dentistry. Known for her attention to detail and patient-first approach, Dr. Santosh Joy has helped hundreds of patients transform their smiles with All-on-4 and All-on-X treatments.
Our clinic combines modern digital imaging, advanced surgical planning technology, and a fully equipped in-house lab to ensure precise, high-quality outcomes. By keeping every stage of treatment under one roof, we provide a smooth, consistent experience that builds trust, reduces wait times, and delivers life-changing results.
Your free consultation includes:






Every step of your care is planned for precision, comfort, and long-lasting results.
Book your free implant consultation

Get your digital scan, facial analysis & treatment plan

Begin your All-on-4 journey with interest-free weekly payments or Super

I’d been told I needed multiple referrals. JJ Smiles did everything in one place. Amazing care!
— Marcus T.

The team helped me use my Super and spread the rest over weekly payments. I finally feel confident eating and smiling again.
— Elisa R.

It was professional from start to finish. I was shocked at how natural my new smile looks.
— James L.
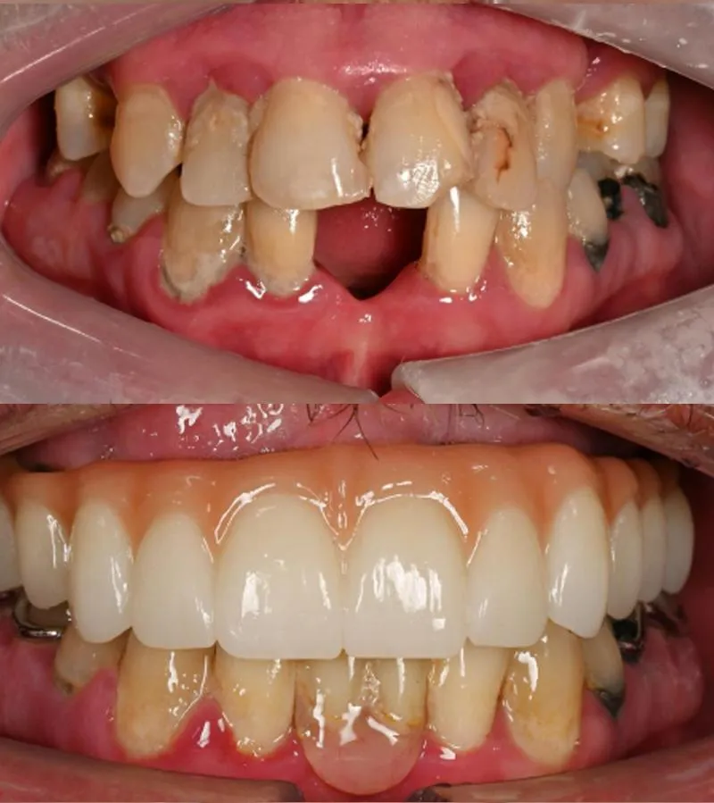
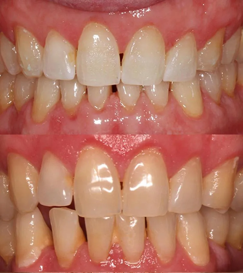
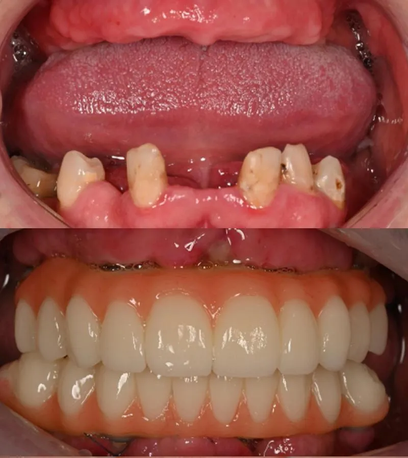
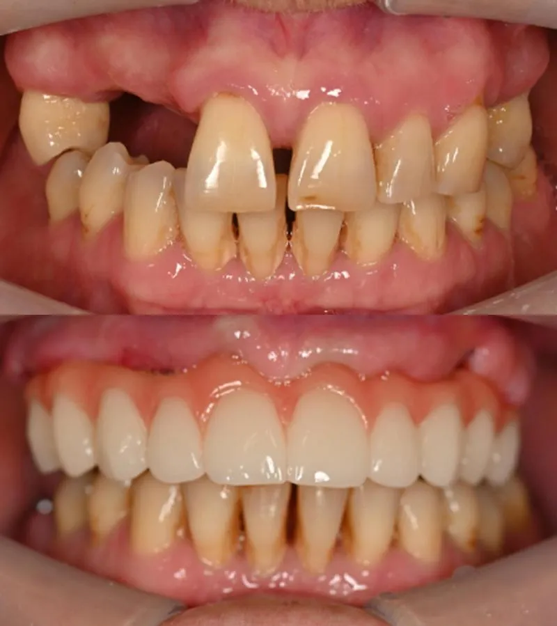
Before-and-after results from patients who’ve undergone our All-on-4 transformation. See how missing, damaged, or loose teeth were replaced with stable, natural-looking smiles — crafted entirely at our clinic.






At JJ Smiles, we believe in keeping your entire treatment journey in one trusted place. That’s why we don’t refer you to outside surgeons, designers, or planners. From your initial scan to the final placement of your new smile, every step is handled by our experienced in-house team.
Using the latest in digital technology, we carefully plan and deliver each All-on-4 treatment with precision and personalisation. No outsourcing, no templated results — just a beautifully crafted smile designed to suit your face, function, and lifestyle.
Yes — it includes a full check-up, digital scan, X-ray, and smile evaluation.
Absolutely — we can assist with the application process for early Super release.
Yes — we offer interest-free weekly options to suit your budget.
Once planned, the implants and provisional teeth are often placed in just one visit.
Yes — each prosthetic is custom-designed to match your facial structure and preferences.
Start your All-on-4 smile journey with a free consultation.
Explore your options with no pressure — just clarity, expert care, and flexible plans to suit your life.
Offer applies to full-arch All-on-4 and All-on-X cases only.
Subject to clinical suitability and payment approval.